
Votre sourire,
parfait commence ici
Transformez votre sourire avec des traitements orthodontiques de pointe. Plus de 6 ans d'expérience au service de votre bien-être dentaire.

Nos Services
Nous offrons des services orthodontiques complets utilisant les dernières technologies et techniques pour assurer les meilleurs soins pour vous et votre famille.
Dentisterie Générale
Soins de santé bucco-dentaire complets incluant nettoyages, obturations et traitements préventifs pour garder votre sourire sain et éclatant.
Orthodontie
Appareils dentaires modernes et aligneurs transparents pour redresser les dents et corriger les problèmes d'occlusion pour les patients de tous âges.
Dentisterie Esthétique
Transformez votre sourire avec des facettes, blanchiment et traitements esthétiques conçus pour renforcer votre confiance.
Soins Préventifs
Soins dentaires proactifs incluant examens réguliers, nettoyages et éducation pour prévenir les problèmes avant qu'ils ne commencent.
Dentisterie Pédiatrique
Soins doux et spécialisés pour enfants dans un environnement amusant et confortable qui rend les visites dentaires positives.
Soins d'Urgence
Soins dentaires immédiats pour situations urgentes incluant soulagement de la douleur, traitement de traumatismes et services d'urgence.

Rencontrez le Dr. Sidi Abdoullah
Orthodontiste passionné avec plus de 6 ans d'expérience, le Dr. Sidi Abdoullah s'engage à transformer votre sourire avec des techniques modernes et une approche personnalisée.
Mon cabinet utilise les technologies les plus avancées : orthodontie invisible, brackets auto-ligaturants, et imagerie 3D pour des traitements précis et confortables.
Qualifications & Certifications
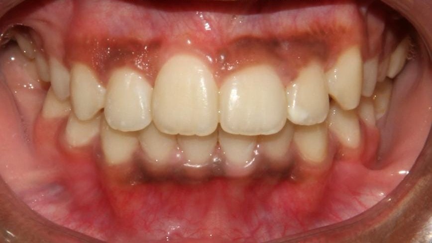
Transformations Avant/Après
Découvrez les résultats exceptionnels obtenus par le Dr. Sidi Abdoullah. Chaque sourire raconte une histoire de transformation réussie.


Correction d'encombrement dentaire
Traitement par brackets métalliques - 18 mois
Pourquoi choisir notre expertise ?
- Diagnostic précis avec imagerie 3D
- Plan de traitement personnalisé
- Suivi régulier et ajustements précis
- Résultats durables et esthétiques
testimonialsTitle
testimonialsSubtitle
"Dr. Sidi Abdoullah et toute son équipe sont absolument merveilleux ! Ils ont rendu mon traitement orthodontique confortable et les résultats ont dépassé mes attentes. J'ai enfin le sourire confiant que j'ai toujours voulu."
Prêt à Sourire?
Prenez la première étape vers votre sourire parfait. Planifiez votre rendez-vous aujourd'hui et découvrez la différence que peuvent faire des soins dentaires personnalisés et professionnels.
Nous offrons des options de planification flexibles et acceptons la plupart des plans d'assurance. Les nouveaux patients sont toujours les bienvenus, et nous fournissons des consultations complètes pour développer le plan de traitement parfait pour vos besoins.
Notre Localisation
Chinguitty Aluminium, Carrefour Cité Smar - En face de, Nouakchott, Mauritanie
Réservez votre rendez-vous
Contactez-Nous
Nous sommes là pour vous aider à obtenir votre sourire parfait. Contactez-nous dès aujourd'hui pour prendre rendez-vous ou poser vos questions.
Nous Visiter
Chinguitty Aluminium
Carrefour Cité Smar - En face de
Nouakchott, Mauritanie
Nous Appeler
+222 32000092
Urgence: +222 32000092
Heures d'Ouverture
Lun-Ven: 8h00 - 18h00
Sam: 9h00 - 15h00
Dim: Urgences Seulement